Cirurgia bucal


La cirurgia bucal engloba els procediments destinats a tractar problemes dentals i ossis que requereixen una intervenció quirúrgica.
Es realitza amb tècniques mínimament invasives i amb el màxim confort per al pacient.
La cirurgia bucal pot ser necessària en casos com:
Queixals del seny inclosos o mal posicionats
Extraccions complexes
Falta d'os per col·locar implants
Quists o lesions bucals
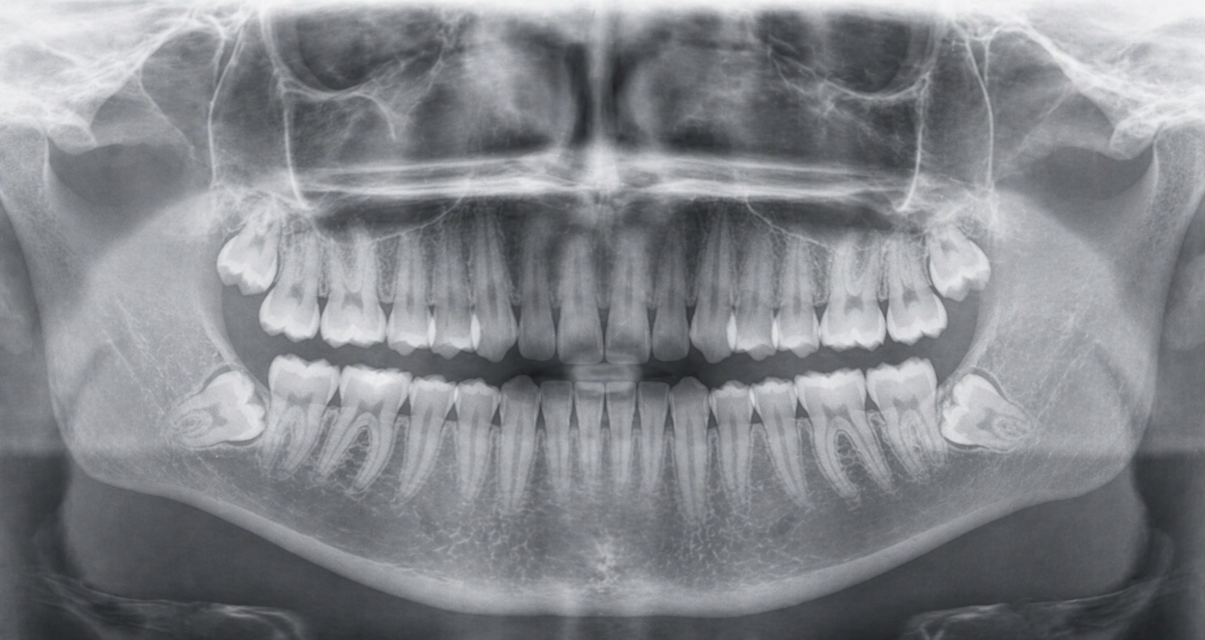
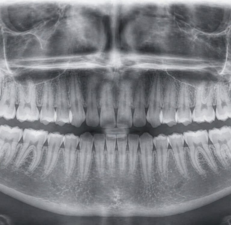
Què engloba la cirurgia bucal?
Extracció dels queixals del seny
És un dels procediments més habituals:
Dents inclosos o parcialment erupcionades.
Dolor, infecció o inflamació.
Prevenció de problemes futurs.
Es realitza amb anestèsia local i control del dolor.
Postoperatori
Després d'una cirurgia es donen indicacions clares per afavorir una bona recuperació:
Control del dolor i inflamació.
Higiene adequada.
Seguiment professional.
La majoria de procediments permeten una recuperació ràpida.
La cirurgia bucal permet resoldre problemes complexos de manera segura i previsible.
Amb una bona planificació, anestèsia i tecnologia adequada, es poden aconseguir tractaments còmodes, amb excel·lents resultats i, sobretot, indolors.






Contacte
© 2026. All rights reserved.
Horari
Dilluns a dimecres: 10-14h i 16-20h
Dijous: 10-14h i 15-19h
Divendres: 10-15h
