Ortodòncia


L'ortodòncia és l'especialitat que s'encarrega d'alinear les dents i millorar la mossegada.
No només és una qüestió estètica, sinó també de salut i funció.
És el tractament que permet corregir la posició de les dents i dels maxil·lars.
Millora la funció de les dents.
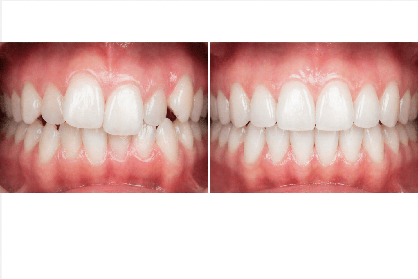
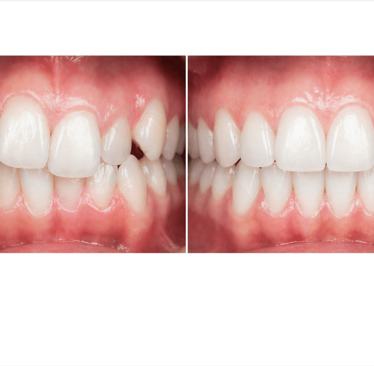
Millora l'estètica del somriure.
Facilita la neteja dental.
Evita desgasts dentals i sobrecàrregues.
Què és l'ortodòncia?
Quan està indicada?
L'ortodòncia pot ser necessària en casos com:
Dents apinyades o tortes.
Separacions entre dents.
Mossegada incorrecta (oberta, creuada, profunda)
Problemes funcionals en mastegar
Tipus de tractaments
Ortodòncia invisible:
Aparells transparents i removibles.
Molt estètics i còmodes.
Permeten menjar i rentar-se les dents amb normalitat.
Ortodòncia fixa:
Brackets metàl·lics.
Alta eficàciea en tot tipus de casos.
Control precís del moviment dental.
L'ortodòncia permet aconseguir un somriure alineat, funcional i saludable.
Amb una planificació adequada i un bon seguiment els resultats són estables i duradors.






Contacte
© 2026. All rights reserved.
Horari
Dilluns a dimecres: 10-14h i 16-20h
Dijous: 10-14h i 15-19h
Divendres: 10-15h
